Suivre un régime alimentaire équilibré permet d'avoir de meilleures fonctions cognitives, selon une nouvelle étude publiée dans la revue Nature Mental ...
Actualités similaires
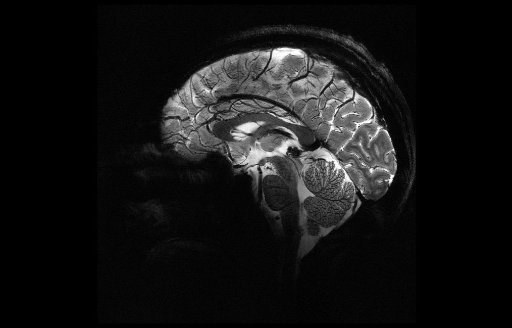
Vous avez peut-être vu les images de ce cerveau humain diffusées par les chercheurs du commissariat à l'énergie atomique et aux énergies alternatives ...
Actualités similaires
Bien que la bière et le vin soient généralement considérés comme des boissons plus sûres, comme l'indiquent les directives américaines, le type de ...
Actualités similaires
Quand la chirurgie d'avant-guerre flirte avec le cinéma. Ou comment un film chirurgical de 15 minutes en noir et blanc tourné en1911 décrivant le retrait ...
Actualités similaires
Des chercheurs français du Centre d'études CEA Paris-Saclay ont dévoilé les résultats révolutionnaires du scanner IRM Iseult, l'appareil d'IRM le plus ...
Actualités similaires
Mardi 2 avril, le footballeur Raphaël Varane a alerté sur les commotions cérébrales dans son sport. Jean-Marc Sène, médecin du sport et Mathieu Rollinger, ...
Actualités similaires
Une équipe de chercheurs emmenée par le professeur Benoit Vanhollebeke du département de biologie moléculaire de l'ULB a découvert que les vaisseaux ...
Actualités similaires
Ce ne sont, rien de moins, que les images les plus précises du cerveau humain jamais réalisées à ce jour ! Ces clichés, historiques, ont été obtenus par ...
Actualités similaires
Iseult, une nouvelle machine IRM, dix fois plus puissante que les précédentes a été dévoilée le 2 avril. Un espoir pour la recherche médicale et la ...
Actualités similaires
Le CEA (Commissariat à l'énergie atomique et aux énergies alternatives) a dévoilé ce mardi 2 avril les premières images de l'IRM Iseult. Bien plus ...
Actualités similaires
Le Commissariat à l'énergie atomique et aux énergies alternatives a dévoilé ce mardi 2 avril les premières images de l'IRM Iseult, le plus puissant du ...
Actualités similaires
TME Pharma, une société de biotechnologie spécialisée dans le développement de nouvelles thérapies pour le traitement du cancer en ciblant The post TME ...
Actualités similaires
Cette nouvelle IRM, baptisée Iseult, a révélé des images d'une précision étonnante. Même si l'outil n'est pas encore utilisable dans les hôpitaux, les ...
Actualités similaires
Comment peut-on se retrouver avec un ver solitaire dans le cerveau ? Cette affection peu commune a été diagnostiquée chez un Américain de 52 ans, suite à ...
Actualités similaires
L'événement était attendu depuis presque 20 ans : Iseult, l'IRM le plus puissant du monde grâce à l'intensité record de son champ magnétique, a livré ...
Actualités similaires
Au sommaire des ultrabrèves du 2 avril 2024 : la découverte d'un matériau supraconducteur unique dans la nature, le changement climatique modifie la vitesse ...
Actualités similaires
Ce sont les images les plus précises du cerveau humain, et surtout celles qui ont été obtenues le plus rapidement avec de degré de détail. L'imagerie ...
Actualités similaires
L'IRM le plus puissant du monde a livré, près de Paris, ses premières images du cerveau humain et est désormais prêt à mieux comprendre son fonctionnement ...
Actualités similaires
L'IRM le plus puissant du monde a livré, près de Paris, ses premières images du cerveau humain et est désormais prêt à mieux comprendre son fonctionnement ...
Actualités similaires
L'IRM le plus puissant du monde a livré, près de Paris, ses premières images du cerveau humain et est désormais prêt à mieux comprendre son fonctionnement ...
Actualités similaires
L'IRM le plus puissant du monde a livré, près de Paris, ses premières images du cerveau humain et est désormais prêt à mieux comprendre son fonctionnement ...
Actualités similaires
Mis au point au terme de plus de vingt ans de recherches, le super IRM du CEA, Iseult, est doté d'un champ magnétique de 11,7 teslas, contre 3 teslas maximum ...
Actualités similaires